エキゾチックアニマルの診療
エキゾチックアニマルとは、犬猫以外の小さな動物のことを総称した呼び方です。
当院のエキゾチックアニマルの診療対象動物は、ウサギ、モルモット、チンチラ、ハムスター、デグー、ファンシーラット、ハリネズミ、フクロモモンガ、ジリス、リス、フェレットなどの小型哺乳類および爬虫類となっております。
その他の動物に関してはお問い合わせください。
- 鳥の診療は休止しております。鳥の診察をご希望の方は、鳥の病院BIRDMOREにご連絡お願いします。

エキゾチックアニマル診療対象動物

うさぎ

ハムスター

フェレット

モルモット

チンチラ

爬虫類
エキゾチックアニマルの診療の質向上のために
- 専門医を招致して定期的な院内勉強会を開催
当院では3か月毎にエキゾチック診療の専門医を招致して、定期的な院内勉強会を開催しております。 - 愛玩動物看護師は各種認定資格を取得
在籍する愛玩動物看護師はJCRA認定のコンパニオンラビット検定2級などエキゾチックアニマルに関連した各種認定資格を取得し、環境エンリッチメントに配慮したエキゾチックアニマルの動物看護を実践しております。
このように、未だまだ分からないことも多いエキゾチックアニマルの病気についての知見を深め、エキゾチック動物たちの生態や特性に配慮した診療の質向上に努めております。
診療内容

- 健康チェック
- 飼育相談
- 一般診療(内科、外科、歯科、皮膚科、循環器科、眼科、腫瘍科など)
※動いて処置できない場合や動物へのストレスを考慮し、鎮静処置を行ったうえでの処置となることもございます
検査内容

- 糞便検査
- 尿検査
- 血液検査(動物により採血が難しいこともあります)
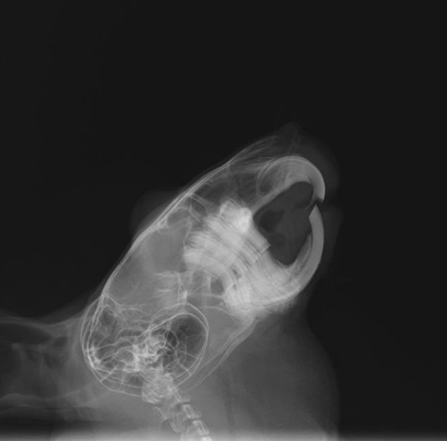
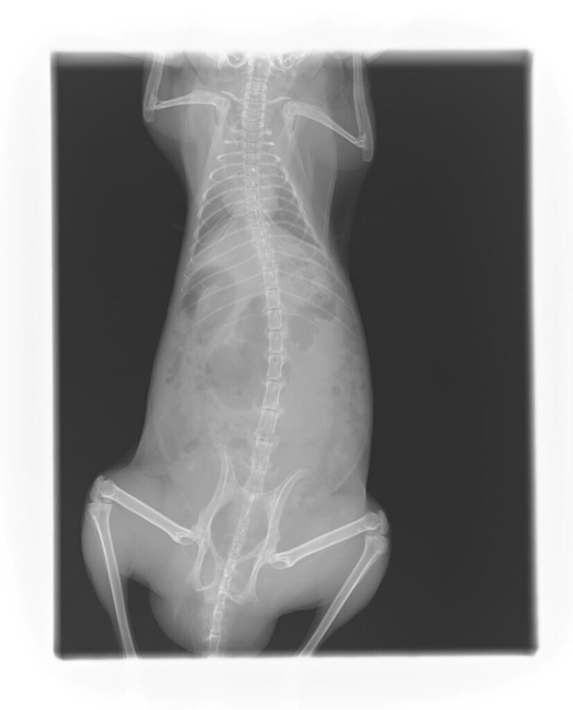
- レントゲン検査
- 超音波検査
- 細胞診 など
処置例(実際に当院で実施している治療例です)
ハムスターの皮膚腫瘤切除



ウサギの切歯不正咬合および臼歯過長整復


チンチラの胃腸うっ滞・鼓張症

フェレットの尿石症、インスリノーマ、ミミダニ症

モルモットの切歯不正咬合

爬虫類(フトアゴヒゲトカゲ)の卵詰まり

来院する際の注意点
ケージのままで
エキゾチックアニマルたちは環境の変化に敏感です。
動物にとって動物病院という場所は慣れない環境となるため、少なからずストレスを感じます。
通院に伴うストレスを減らすために、できれば普段生活しているケージのままお連れください。怖がりな子、音に敏感な子は車内でお待ちいただけますので、その際は受付スタッフにお声がけください。
動物に合った環境温度を保ちましょう

ハムスターなどの小動物は身体が小さく、外気温の影響を受けやすいです。また、チンチラやウサギなどでも、気温の変化により体調悪化の原因にもなります。気温が高くなる夏前から秋ごろは熱中症対策のため保冷剤を天井につけたり、冬は毛布などをケージにかけて保温するなどして、環境温度を適切に保つようにしてあげましょう。
お車で移動する際は、事前に車内温度を確認してから載せてあげてください。
目隠しで不安を軽減

エキゾチックアニマル達は周りが見えてしまうことでもストレスを感じます。動物病院で人間を含め様々な動物から見られるということは、自然界で外敵からマークされていることを感じとり身を守るために常に緊張状態にあるのと同じ状況といえます。目隠しをしてあげることで、外部刺激からのストレスを減らしてあげられますので、ケージ内に小屋があってもバスタオルなどでケージを覆えるようにしてあげてください。
ケージ内で飲食ができるように

飲水ボトルなどで常にお水が飲めるようにしてあげましょう。ウサギなどの草食哺乳類は牧草を齧れるように床に敷いておくなどしてあげてください。

